Klinik für Neurochirurgie
Tumore peripherer Nerven
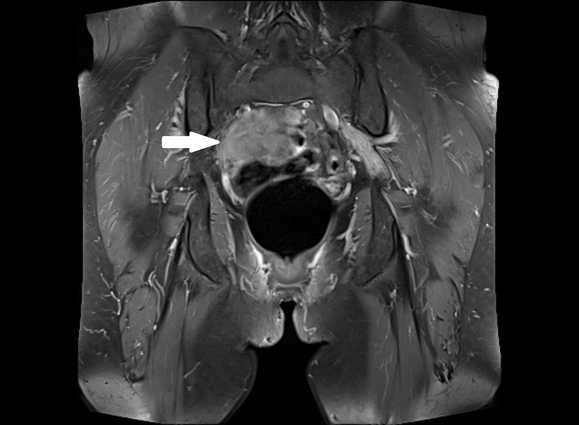
Tumore peripherer Nerven gehen von der Nervenscheidewand aus und sind meist gutartig. Hierzu zählen Neurinome/Schwannome und Neurofibrome, seltener treten bösartige(maligne) periphere Nervenscheidentumore auf. Verlaufen periphere Nerven durch einen von ihnen unabhängigen Tumor bzw. werden sie von diesem verdrängt, entsteht dadurch Druck auf den Nerven. Die Symptomatik ist abhängig von der Tumorlokalisation, typisch sind elektrisierende Missempfindungen, Schmerzen, Taubheitsgefühle und Lähmungserscheinungen.
Bei bestimmten neurologischen Erkrankungen führen wir in Kooperation mit unseren Kollegen der Neurologie diagnostische Nervenbiopsien, z.B. des Nervus Suralis am Unterschenkel, durch.


