Klinik für Neurologie

Hirntumore

Eine erfolgreiche Versorgung von Hirntumoren benötigt eine enge interdisziplinäre Zusammenarbeit

Portrait von Oberärztin Dr. Cäcilie Wismeth, Fachärztin für Neurologie, MVZ Neurologie

Spezialisten für Hirntumore

Dr. Cäcilie Wismeth
Oberärztin

Chefarzt Prof. Dr. Hendrik-Johannes Pels
Chefarzt der Klinik und Leiter des Hirntumorzentrums

 


Einen Termin für die Sprechstunde können Sie gerne über das Sekretariat unter der Tel. +49 (0)941 369 2401 vereinbaren.

Fallbeispiel: die 34jährige Angelika W. hat erstmals einen epileptischen Anfall erlitten. Der Ehemann beschreibt, was er an seiner Frau am Morgen am Kaffeetisch sitzend beobachtet habe. Es habe zunächst der rechte Arm angefangen zu zucken und dieser sei wenige Minuten später schlaff heruntergehangen. Seine Frau sei stets ansprechbar gewesen. Ihm sei in den letzten Monaten eine Wesensänderung und erhöhte Ermüdbarkeit aufgefallen. Manchmal verhalte sie sich ihren Kindern gegenüber merkwürdig, gebe teilweise unpassende Antworten. In den letzten Wochen habe sie ständig über Kopfschmerzen geklagt. In einer ersten Untersuchung seien dem Hausarzt eine leichte Kraftlosigkeit im rechten Arm und Bein sowie ein leicht hängender rechter Mundwinkel aufgefallen.

Die Kombination aus spezifischen neurologischen Ausfällen, nicht zuletzt dem Auftreten eines epileptischen Anfalles, und seit längerem bestehenden, wenig fassbaren Beschwerden haben bei Angelika W. zur Diagnose eines Glioblastoms geführt. Das Glioblastom gehört zu den häufigsten, bösartigen primären Tumoren des Hirngewebes.

Nach Untersuchung von Gewebeproben können histopathologisch über hundert Arten von Hirntumoren unterschieden werden. Tumore entstehen aus entarteten, gewuchterten Nervenzellen, können im Hirn- oder Rückenmarksgewebe entstehen und werden daher primäre Tumore des Zentralnervensystems genannt. Abzugrenzen sind hier wachsende, gestreute Zellstrukturen, die Tochtergeschwülste, sogenannte Metastasen, eines anderen Tumors darstellen und zum Beispiel von einem Lungenkrebs oder Brustkrebs aus entstanden sind. Sie werden daher auch sekundäre Tumore genannt.

Die Funktionen des zentralen Nervensystems können auch durch anderes Tumorwachstum  beeinträchtigt werden. Hier können zum Beispiel die Hirnhäute eine Wucherung ausbilden, die auf Hirngewebe drückt oder frei schwimmende Tumorzellen im, die Nervenstrukturen umfließenden, Nervenwasser vorhanden sein (Meningeosis carcinomatosa). Auch das periphere Nervensystem kann eine Nervenzellentartung zeigen und Tumore ausbilden. Jede Art von Nervengewebe kann entarten: seien es die Stützzellen, Drüsenzellen, Hirnnervenzellen, Hirnzellen selbst oder eine Anhäufung von weißen, entarteten Blutkörperchen, die man dann als Lymphom bezeichnet.

Je nach Ausgangsgewebe werden die Tumore unterschiedlich bezeichnet: zum Beispiel als Gliome, wenn sie von den Stützzellen ausgehen (zum Beispiel Glioblastome, Olidgodendrogliome). Oder als Meningeome, wenn die Hirnhautzellen entarten. Ob ein Tumor ein gutartiges oder ein bösartiges, das heißt schnelles und Nervengewebe schädigendes Verhalten zeigt, kann nur mit einer Gewebsentnahme sicher geklärt werden. Über die Hälfte der primären Tumore werden als gutartig klassifiziert.

Ursachen

Risikofaktoren wie bei der Gefäßverkalkung und dem dadurch bedingten Risiko einen Schlaganfall zu erleiden, sind bei Hirntumoren nicht bekannt. In einigen Fällen kann eine genetische Veranlagung vermutet werden oder liegt bereits eine Grunderkrankung vor, die ein Zellwachstum begünstigt. Dies trifft beispielsweise auf die seltene Erkrankung der Neurofibromatose zu. In wenigen Fällen ist bereits im Vorfeld eine Strahlentherapie erfolgt und im Behandlungsfeld liegendes Nervengewebe  hat hierdurch ein erhöhtes Entartungsrisiko entwickelt.

Es gibt keine sicheren Hinweise, dass Einfluss von elektrischen Strömen, die Aufnahme von Schadstoffen oder die Benutzung elektronsicher Geräte wie dem Handy zu Tumorwachstum führt. Die Ursache, warum Zellen ein entartetes Wachstum beginnen, ist noch unbekannt. Bei der Diagnostik werden heutzutage immer mehr genetische Verfahren verwandt und Tumore können  genetisch immer näher typisiert werden, was  bereits bei der Planung der individuellen Therapie sehr weiterhilft.

Beschwerden

Die Beschwerden, die ein Hirntumor auslöst, sind vielfältig und unter anderem abhängig von Lage und der Ausdehnung des Tumors. Die Beschwerden treten in der Regel nicht schlagartig auf, sondern schleichend und über Tage bis Wochen zunehmend.

Einige Beschwerden können beispielsweise sein

  • Unspezifische Beschwerden wie Kopfschmerzen, Übelkeit, Abgeschlagenheit
  • Neurologische Ausfallserscheinungen wie eine Halbseitenlähmung, Gefühlstörung, Sehstörung oder Koordinations- und Gleichgewichtsstörung
  • Neuropsychologische Ausfallserscheinungen und psychische Veränderungen
  • Epileptische Anfälle

Tumore wachsen verdrängend. Durch die knöcherne Schädeldecke kann das Hirngewebe aber nur begrenzt ausweichen, so dass ein erhöhter Druck auf Gewebe, Nervenwasser und Gefäße besteht.

Beschwerden, die auf erhöhten Hirndruck hindeuten

Bis auf eine Bewusstseinstrübung sind diese Zeichen oft nicht eindeutig und können auch bei einem einfachen Infekt auftreten. Bei Störung des Bewusstseins, klaren neurologischen Ausfällen oder nach einem epileptischen Anfall sollte allerdings unbedingt eine ärztliche Vorstellung und weitere Abklärung erfolgen.

Diagnostik

Eine prophylaktische Untersuchung gibt es nicht. Treten neurologische Ausfallserscheinungen auf, hilft klassischerweise heute eine Bildgebung (Computertomographie, Kernspintomographie) weiter. Eine Elektroencephalographie kann eine durch das Tumorwachstum bedingte Funktionsstörung des Hirngewebes nachweisen.

Mit der Nervenwasseruntersuchung können frei schwimmende Tumorzellen in diesem Kompartiment histologisch nachgewiesen werden. Eine genaue Eingrenzung des Gewebes erfolgt durch eine Probenentnahme und mikroskopische Aufarbeitung.

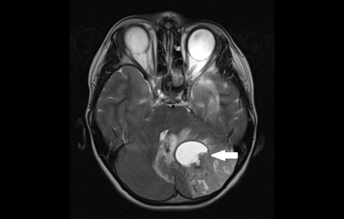
Dieser Hirntumor (dunkel) im Kleinhirn besitzt eine Flüssigkeitsblase (hell), die zusätzlich auf das Hirngewebe drückt.
Dieser Hirntumor (dunkel) im Kleinhirn besitzt eine Flüssigkeitsblase (hell), die zusätzlich auf das Hirngewebe drückt.

Therapie

Das aktuelle Therapieangebot kann generell für Hirntumore in ein operatives Vorgehen, in eine Strahlentherapie und in eine Chemotherapie gegliedert werden. Das individuelle Vorgehen wird je nach Art des Tumors, seiner Lage und seiner  Dynamik ausgewählt. Immer mehr an Bedeutung gewinnt die genetische Differenzierung von Tumoren, die  beispielsweise verrät, wie erfolgreich der Einsatz einer Chemotherapie sein wird. Die Abstimmung der einzelnen Abteilungen, die bei der Behandlung der Hirntumor notwendig sind, setzen eine erfolgreichen Behandlung voraus. Hierfür gibt es bei den Barmherzigen Brüdern das Hirntumorzentrum.

Die moderne Behandlung von Hirntumoren erfordert regelmäßig die Kooperation mehrerer klinischer Disziplinen und kann daher nur in entsprechenden Zentren angemessen erfolgen.
Die neurologische Klinik besitzt umfangreiche klinische Erfahrung in der Diagnostik und Therapie dieser schwierig zu behandelnden Tumoren. Durch die Kooperation mit Neurochirurgie, Strahlentherapie, Radiologie und Onkologie ist im Rahmen unseres Hirntumorzentrums eine optimale Behandlung dieser Patienten möglich.

Ein Job mit Herz – Ihre Karriere bei den BarmHERZigen Brüdern
Ein Job mit Herz – Ihre Karriere in der Neurologie

Jetzt bewerben!