Klinik für Unfallchirurgie, Orthopädie und Sportmedizin
Die Erstoperation
Hüftimplantate: Wunder der Medizintechnik
Wann ist ein Ersatz des Hüftgelenks sinnvoll?
Diese Frage lässt sich nicht pauschal beantworten. Ob und wann eine Operation ratsam ist, hängt von der Diagnose und der Intensität der Beschwerden ab. Die Antwort wird im Verlauf der Behandlung im Dialog zwischen unseren Experten, dem Hausarzt, dem einweisenden Facharzt und natürlich mit Ihnen ermittelt. Dies ist der Fall, wenn die Schmerzen ein erträgliches Maß überschreiten und andere, gelenkerhaltene Maßnahmen keine Linderung mehr bringen.
Unsere Klinik hat im Hinblick auf den Einsatz von Kunstgelenken ein klares Konzept: Für uns steht der künstliche Gelenkersatz am Ende der Behandlungskette. Den Anfang macht die genaue Diagnostik, die auch eine Beurteilung des Schweregrads der Arthrose beinhaltet. Dann versuchen wir in Zusammenarbeit mit unseren niedergelassenen Kollegen, die Probleme des Patienten über ein konservatives Therapieprogramm (unter anderem Krankengymnastik, medikamentöse Behandlung) in den Griff zu bekommen. Sollte dennoch ein operativer Eingriff notwendig werden, wenden wir gelenkerhaltende Techniken (z.B. Achskorrekturen) an. Erst wenn alle diese Möglichkeiten ausgeschöpft sind und nicht ausreichen, ist der künstliche Gelenkersatz angezeigt.
Die möglichen Zugänge zum Gelenk – Je schonender, je besser
Um ein künstliches Hüftgelenk implantieren zu können, benötigt der Chirurg in der Operation den sogenannten Zugang. Darunter versteht er die Schnittführung an den Muskeln vorbei oder durch sie hindurch, bis zum Gelenk. In Deutschland sind drei Hüftgelenkzugänge gebräuchlich. In unserem Haus werden alle drei praktiziert. Welcher für Sie individuell am besten geeignet ist, wird im Vorfeld eingehend besprochen.
Wo es möglich ist, werden minimal-invasive Operationstechniken eingesetzt. Diese sind für die Patienten sehr schonend. Es entstehen nur kleine Narben und ein geringer Blutverlust. Die Patienten können schon nach wenigen Tagen nach der Operation wieder gut Treppen steigen.
Computerplanung
Jede Operation wird vorher am Computer genauestens geplant und simuliert. Dabei werden die Größe und Position der Implantate bestimmt. So ist es möglich, das Röntgenergebnis zu simulieren und bereits vor der Operation anzuschauen. Das erhöht die Präzision erheblich.
Minimal-invasive Chirurgie
Die Operation selbst kann über verschiedene Implantationstechniken durchgeführt werden. Neben der herkömmlichen Operationstechnik gibt es minimalinvasive Zugänge, bei der kleinere Hautschnitte und muskelschonende Verfahren angewendet werden. Das führt zu einer schnelleren Wiederherstellung der Beweglichkeit. Die Patienten können in der Regel am Tag nach der Operation wieder aufstehen und voll belasten.
Optimale Versorgung von Begleiterkrankungen
Patienten mit internistischen Begleiterkrankungen werden vor, während und nach der Operation nicht nur von den Spezialisten der Anästhesie betreut. Im Bedarfsfall verstärken internistische Kollegen, Kardiologen sowie andere Fächer unser Behandlungsteam, um die Behandlungssicherheit unserer Patienten noch weiter zu erhöhen.
Welche Möglichkeiten gibt es beim künstlichen Hüftgelenkersatz?
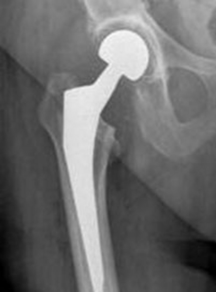
Es gibt verschiedene Modelle von künstlichen Hüftgelenken. Bei der Wahl der Prothese und ihrer Verankerung spielen unter anderem der Gesundheitszustand des Patienten, seine Knochenqualität und seine körperliche Aktivität eine Rolle. Ziel einer jeden Erstoperation ist es möglichst viel vom eigenen Knochen zu erhalten und die ursprüngliche Anatomie weitestgehend wiederherzustellen. Die Kunstgelenkmodelle, die dieser Aufgabe am besten gerecht werden, istdie Kurzschaftprothese. Diese können bei Patienten mit einem Lebensalter von unter circa 60 Jahren und guter Knochenqualität eingesetzt werden.
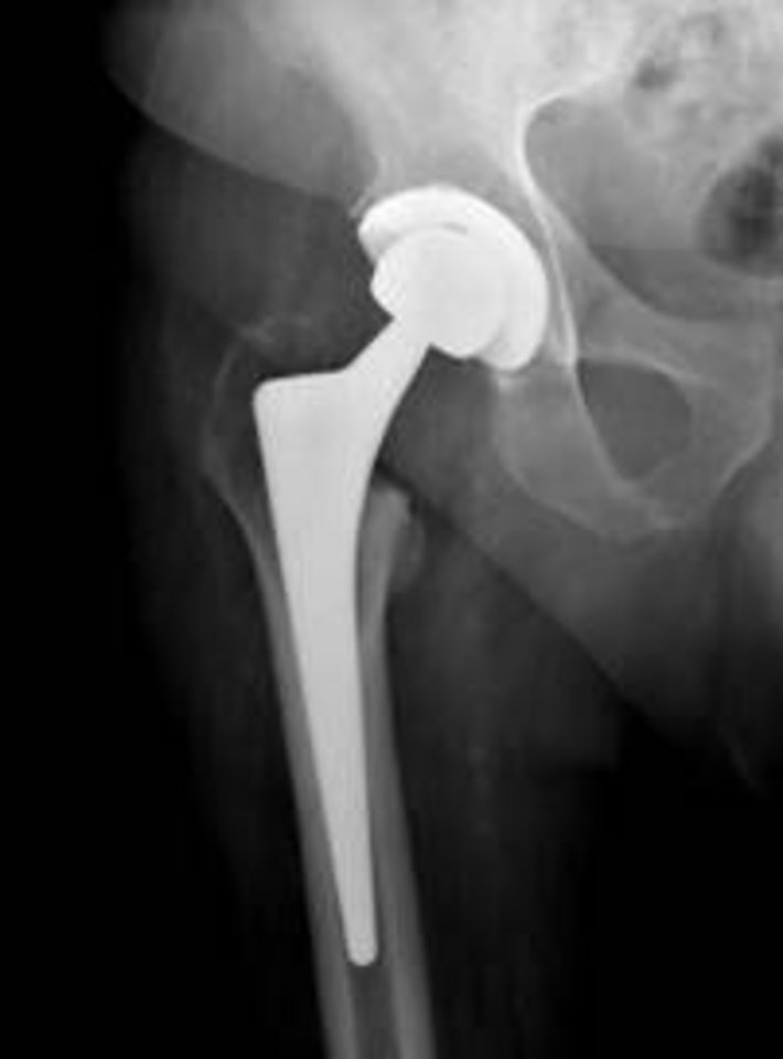
Das häufigste künstliche Hüftgelenk
Das künstliche Hüftgelenk, die sogenannte unzementierte Hüftendoprothese (Hüft-TEP), wird weltweit am häufigsten implantiert. Es besteht ein sehr langer Erfahrungszeitraum und man kann in den meisten Fällen eine hervorragende Funktion vorhersagen. Das Kunstgelenk wird in den Hüft- und Oberschenkelknochen passgenau eingebracht. Sowohl Gelenkspfanne als auch Hüftkopf werden dabei ersetzt. Sollte eine Knochenschwächung durch Osteoporose vorliegen, können die Gelenke mit Knochenzement sicher verankert werden (zementierte Hüftendoprothese).




